a cura della Dott.ssa Alessia Anzalone
INDICE
- Quali tipi di dermatite esistono e come riconoscerli?
- Che cos’è la dermatite?
- Dermatite atopica
- Le cause della dermatite atopica
- Dermatite seborroica
- Da cosa è causata la dermatite seborroica?
- Dermatite da contatto
- Quali sono gli agenti che causano la dermatite da contatto?
- Dermatite periorale
- Dermatite da stress
- Dermatite erpetiforme
- Dermatite discoide
- Dermatite da stasi
- Dermatite disidrosica
- Dermatite da sudore
- Qual è la differenza tra dermatite e psoriasi?
- Come capire che tipo di dermatite si ha?
- Come si curano le dermatiti?

1. Quali tipi di dermatite esistono e come riconoscerli?
Dermatite atopica, seborroica, da contatto: sono solo i nomi di alcune delle dermatiti più comuni che può capitare di incontrare nel corso della vita, anche se non si tratta delle uniche esistenti. La parola dermatite, infatti, è come un ombrello che comprende molteplici manifestazioni, che si differenziano l’una dall’altra non solo sulla base dei sintomi ma anche, e soprattutto, dei fattori scatenanti.
Conoscere quali sono le principali tipologie e come si distinguono può essere molto utile per accorgersi di eventuali segni sospetti e rivolgersi al dermatologo per una diagnosi accurata. Scopriamo insieme, dunque, quali sono i tipi di dermatite, i loro sintomi, le cause e i rimedi per trattarli.
2. Che cos’è la dermatite?
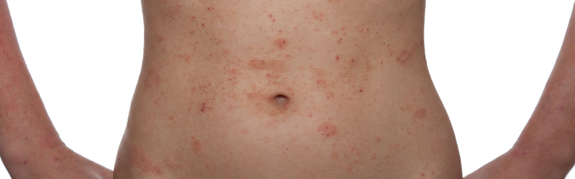
Partiamo dalle basi: cosa significa dermatite? Questa parola è un termine generico che serve a indicare un’infiammazione cutanea non contagiosa che può avere molteplici cause e forme. Può manifestarsi con irritazione, arrossamento, prurito, secchezza, desquamazione, ma anche con vescicole, croste e bollicine, a seconda del caso: essendoci molte forme di dermatite, infatti, anche i disturbi possono variare.
I diversi tipi di dermatite – chiamata anche “eczema” – vengono distinti analizzando i sintomi, le cause e la zona del corpo in cui appare la reazione. Volendo raggruppare gli elementi che possono provocarla in due macro categorie, possiamo individuare i fattori esterni (esogeni) e i fattori interni (endogeni): nel primo caso, i responsabili sono degli elementi esterni – pensiamo alla dermatite da contatto – mentre nel secondo l’origine è da ricercare in elementi interni come la genetica. A volte, tuttavia, cause interne ed esterne coesistono: ad esempio, una dermatite endogena potrebbe essere peggiorata da agenti esogeni come sostanze irritanti.
Alcune dermatiti hanno un andamento ciclico e alternano periodi di manifestazioni intense a periodi in cui i sintomi spariscono. Ci sono forme più frequenti nei bambini, inoltre, e altre più tipiche nell’adulto.
Dopo questa rapida panoramica sulla dermatite, scopriamo quali sono le principali tipologie: come si manifestano esattamente e da cosa sono causate?
3. Dermatite atopica
Si tratta di una forma di dermatite che colpisce soprattutto i bambini, ma che può comparire anche durante l’adolescenza o l’età adulta, anche se in forme diverse.
L’eczema, che tende ad avere un andamento periodico con fasi di riacutizzazione e remissione, compare soprattutto su gomiti, ginocchia, collo, viso, cuoio capelluto e mani (nelle donne può interessare anche la zona mammaria) causando arrossamento e prurito: in genere si formano chiazze rosse desquamate, che possono essere ricoperte da vescicole e croste, queste ultime dovute all’azione di grattarsi. Nel tempo, quando la dermatite si cronicizza, il grattamento causa anche la cosiddetta “lichenificazione”, ossia un ispessimento della cute.
Il prurito, oltre a essere costante, può manifestarsi in modo molto intenso, tanto da causare disturbi del sonno, specialmente nei bambini. Altre manifestazioni tipiche sono la secchezza cutanea, la cheratosi pilare (la pelle ha un aspetto ruvido con puntini in rilievo), e la pitiriasi alba (si formano delle chiazze chiare leggermente desquamanti).
La dermatite atopica, come altre dermatiti, può peggiorare la qualità della vita sotto diversi punti di vista, sia a causa del prurito e del fastidio provocati, sia in ambito relazionale e sociale: le zone colpite, infatti, sono spesso molto visibili e ciò può causare disagio in chi ne soffre.
4. Le cause della dermatite atopica
A cosa è dovuta la dermatite atopica? Le motivazioni non sono ancora del tutto note e probabilmente si tratta di un’origine multifattoriale, in cui giocano un ruolo fattori genetici, immunologici e ambientali. In particolare, può esserci una correlazione con caratteristiche genetiche che influiscono sulla capacità della barriera cutanea di proteggere la pelle in modo adeguato, favorendo così il contatto con sostanze irritanti che scatenano l’infiammazione. I sintomi possono essere peggiorati da numerosi elementi tra cui stress, irritanti, fattori ambientali.
5. Dermatite seborroica
La dermatite seborroica interessa soprattutto il volto, il cuoio capelluto e, in generale, le aree del corpo ricche di ghiandole sebacee. Anche in questo caso si tratta di una condizione piuttosto comune che tende a cronicizzarsi.
In genere, nelle forme lievi si manifesta con desquamazione della pelle sul cuoio capelluto o le sopracciglia, ad esempio, mentre nelle forme più severe può causare placche squamose e prurito che appaiono su sopracciglia, lati del naso, orecchie, testa e schiena.
6. Da cosa è causata la dermatite seborroica?
Anche in questo caso le cause scatenanti non sono pienamente note, ma si pensa che possa giocare un ruolo una proliferazione eccessiva del lievito Malassezia, normalmente presente sulla superficie cutanea, innescando l’infiammazione. Come per altri tipi di dermatite, esistono elementi in grado di provocare riacutizzazioni: tra questi rientrano i cambi di stagione e lo stress psicofisico.
7.Dermatite da contatto
Come si intuisce dal nome, la dermatite da contatto è dovuta al contatto della pelle con allergeni (in questo caso si parla di dermatite allergica da contatto) oppure con sostanze irritanti (dermatite da contatto irritativa). Nel caso di allergia, a essere colpita di solito è la zona entrata in contatto con l’allergene, che può manifestare eritema (arrossamento), vescicole, croste e prurito. Molto simili anche i sintomi della dermatite irritativa, tra cui rientrano desquamazione, croste e vesciche, associate a bruciore o prurito.
8. Quali sono gli agenti che causano la dermatite da contatto?
Nella dermatite allergica da contatto si verifica una reazione immunitaria scatenata da una sostanza a cui siamo sensibili (l’allergene). Tra gli allergeni più frequenti possono esserci alcuni metalli come il nichel, la formaldeide, ma anche determinati prodotti cosmetici, per esempio. Questo tipo di eczema ha un’incidenza maggiore nelle donne proprio perché molti degli allergeni ritenuti responsabili sono spesso presenti all’interno di cosmetici.
Nella dermatite irritativa, invece, la causa risiede in sostanze irritanti come detergenti per la casa, acidi e solventi: alcune persone manifestano la reazione dopo il primo episodio, altre solo in seguito a contatti ripetuti e prolungati.
9. Dermatite periorale
Questo tipo di dermatite, comune soprattutto nelle donne in età fertile, può comparire intorno alla bocca, al naso e agli occhi. Si manifesta come un’eruzione cutanea simile all’acne sul viso o alla rosacea (disturbo infiammatorio cronico a carico della pelle del volto), spesso caratterizzata da papule e bollicine piene di liquido o pus.
La causa certa deve ancora essere definita, ma fra i possibili fattori scatenanti sembra esserci l’uso eccessivo di steroidi topici. Inoltre, in seguito all’uso delle mascherine dovuto alla pandemia di Covid-19, si è assistito a una maggiore incidenza di questa forma di dermatite.
10. Dermatite da stress
Si sente spesso parlare di dermatite da stress, ma che cos’è esattamente? Con questo termine si definiscono le dermatiti comparse improvvisamente, senza che vi siano fattori causali evidenti come l’utilizzo di sostanze potenzialmente irritanti o allergeni; i sintomi, inoltre, appaiono in corrispondenza di un periodo di particolare stress psicofisico. I motivi alla base di tale reazione non sono pienamente chiari, ma si ritiene che lo stress, oltre a causare la produzione di messaggeri chimici infiammatori, sia una concausa insieme ad altri fattori come ad esempio l’utilizzo di cosmetici sbagliati, i lavaggi eccessivi, il freddo e l’umidità. Il sintomo principale, in questo caso, è il prurito, che spesso tende ad aumentare nei periodi molto stressanti. Ricordiamo che la pelle è un organo di sfogo a tutti gli effetti, deputato a sfogare tutto ciò che viene accumulato nell’organismo, stress compreso, aggiungerei, secondo le evidenze portate da numerosi pazienti.
11. Dermatite erpetiforme
La dermatite erpetiforme è una tipologia particolare di dermatite perché è legata alla sensibilità al glutine. La maggior parte delle persone che presentano questo problema cutaneo soffre infatti di celiachia, ma non sempre manifesta sintomi ad essa legati.
La dermatite si sviluppa perché il glutine va ad attivare il sistema immunitario che, in risposta, causa una reazione cutanea caratterizzata da vesciche pruriginose e gonfiori simili a quelli provocati dall’orticaria.
12. Dermatite discoide
Chiamata anche dermatite nummulare, questa tipologia è più spesso frequente nei soggetti di mezza età e negli anziani. A cosa è dovuto questo nome particolare? La ragione è da ricercare nella forma delle lesioni che è simile a quella di una moneta.
Si tratta di una dermatite cronica, che può colpire qualsiasi parte del corpo, anche se in genere sono esclusi il viso e il cuoio capelluto. La causa scatenante non è ancora conosciuta, ma spesso è associata a infiammazioni o infezioni localizzate (come granulomi ai denti) e al fatto di avere una pelle troppo secca: questa condizione, infatti, rende la barriera cutanea meno efficace nel proteggere la pelle da sostanze e agenti esterni.
13. Dermatite da stasi
La dermatite da stasi si verifica quando, a causa dell’insufficienza venosa o di altri problemi circolatori, i liquidi si accumulano nella parte inferiore delle gambe causando pressione, gonfiore e disturbi alla cute. Questa situazione può determinare arrossamento, prurito e pesantezza, inoltre, se non trattata, potrebbe portare alla formazione di ulcere.
14. Dermatite disidrosica
Detta anche pompholix, la dermatite disidrosica si manifesta con vescicole di piccole dimensioni che sorgono principalmente sui palmi delle mani e sulle piante dei piedi provocando intenso prurito. Tra i motivi scatenanti potrebbero esserci il contatto con sostanze chimiche, un eccesso di sudorazione e l’allergia ai metalli.
15. Dermatite da sudore
Anche il sudore, in certi casi, può innescare un’irritazione della pelle. Questa specifica manifestazione si chiama dermatite da sudore – detta anche “miliaria” o “sudamina” – e si verifica quando il sudore rimane intrappolato sotto la cute a causa di un’ostruzione dei dotti escretori, dai quali il sudore normalmente ha modo di uscire.
Più comune nei bambini, può colpire anche gli adulti, specialmente nelle zone in cui i vestiti sfregano contro la cute. Questa dermatite causa un’eruzione cutanea con segni come pustole, vescicole e prurito.
16. Qual è la differenza tra dermatite e psoriasi?
Molte persone si domandano che cosa distingua la dermatite dalla psoriasi, un problema cutaneo che ha sintomi simili a quelli dell’eczema.
La psoriasi è un’infiammazione cronica della pelle immunomediata, cioè causata da un processo infiammatorio innescato da un’attività alterata del sistema immunitario. La forma più comune provoca ispessimenti sulla pelle (chiamati placche) rossi e squamosi.
Premesso che è necessario rivolgersi al dermatologo per diagnosticare con precisione l’una o l’altra condizione, perché a un occhio inesperto dermatite e psoriasi possono apparire molto somiglianti, la psoriasi tende a differenziarsi dall’eczema in diversi modi: ad esempio provoca meno prurito, solitamente, presenta chiazze dai contorni più netti e una desquamazione bianco-argentea. Inoltre è importante indagare la familiarità: di norma, chi soffre di psoriasi ha un familiare affetto dalla stessa patologia.
17. Come capire che tipo di dermatite si ha?
Per diagnosticare la dermatite e capire quale tipologia abbiamo (o per differenziarla da altre condizioni come la psoriasi) è necessaria una visita dermatologica. Sarà lo specialista, infatti, attraverso l’osservazione clinica ed eventuali altri esami, a riconoscere il problema e a indirizzarci verso la terapia più adeguata.
Vediamo brevemente cosa serve per diagnosticare alcune delle dermatiti che abbiamo appena visto:
- Dermatite atopica: per questa forma di dermatite la diagnosi si basa soprattutto sull’esame clinico da parte dello specialista, che valuterà i sintomi e le caratteristiche dell’eczema, oltre che la storia personale e familiare del paziente rispetto a disturbi come dermatiti e allergie.
- Dermatite seborroica: anche questa tipologia solitamente è diagnosticata analizzando l’aspetto dell’eczema e le aree del corpo colpite.
- Dermatite da contatto: per la dermatite allergica da contatto ci si può avvalere del patch test che consente di identificare le sostanze che hanno causato la reazione. Si svolge a livello ambulatoriale e consiste nell’applicare sulla pelle dei cerotti (patch) sui quali sono state messe le sostanze da verificare, da togliere dopo circa 48-72 ore. Anche nella forma irritativa test di questo genere possono essere usati per escludere eventuali allergie.
Come possiamo capire, dunque, in molti casi non servono esami specifici per effettuare la diagnosi ed è il medico a comprendere il tipo di eczema valutando la manifestazione cutanea presente, anche tenendo conto delle condizioni di salute generali della persona e della possibile presenza in famiglia di parenti che soffrono di allergie o dermatiti. Se si sospettano cause specifiche, invece, può essere necessario sottoporre il paziente a dei test (come il patch test appena visto) per giungere a una diagnosi corretta.
18. Come si curano le dermatiti?
Ogni dermatite andrà trattata in modo differente, non solo perché ciascuna di esse si distingue dalle altre, ma anche perché ogni paziente è unico. Andare dal dermatologo è importante per ricevere una diagnosi corretta, dunque, ma anche per impostare una cura personalizzata.
La terapia va personalizzata perché anche se la malattia è la stessa ogni persona è diversa e ha necessità specifiche; il trattamento deve quindi essere cucito su misura delle sue esigenze e dei fattori che contribuiscono a innescare e a peggiorare la manifestazione cutanea. Ricordiamo infatti che la pelle è intimamente connessa all’intestino e al cervello, per cui la dermatite può essere affrontata non solo trattando il problema cutaneo con creme e farmaci, ma anche considerando lo stile di vita della persona, come i livelli di stress e l’alimentazione seguita. Combinando questi interventi è possibile ottenere risultati stabili e duraturi anche in caso di malattie della pelle di tipo cronico.

A cura di:
Dott.ssa Alessia Anzalone
Specialità:
Dermatologa
Biografia:
Dermatologa esperta in Medicina Integrata.










